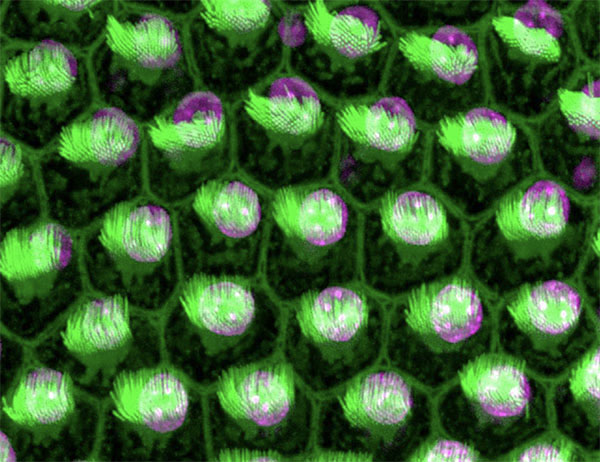
Stereocilia (green) atop hair cells (purple) in a chicken cochlea.
Credit: Dr. Kelvin Y. Kwan, Rutgers University
Embed this multimedia on your website
Copy and paste this code to embed the content in your website, blog, or other distribution channels. Information on our website is in the public domain, but we appreciate when you link to the source and when credit is given to the National Institute on Deafness and Other Communication Disorders, National Institutes of Health.
